Before & After Gallery
Witness the incredible smile transformations we've achieved for our patients
Amazing Smile Transformations
Real results from real patients. See the quality of care and expertise our dental team provides.


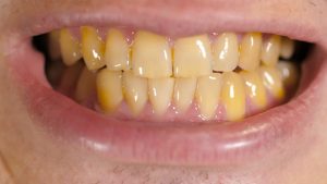
Teeth Whitening Transformation
Patient had severe teeth discoloration and staining from years of coffee and tobacco use, affecting confidence and smile aesthetics.


Dental Implant Restoration
Missing teeth causing difficulty in chewing, speech problems, and bone loss in the jaw area.


Complete Smile Makeover
Multiple dental issues including crooked teeth, gaps, discoloration, and uneven gum line affecting overall smile.


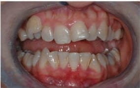
Orthodontic Alignment
Severe misalignment and crowding of teeth causing bite issues, difficulty cleaning, and aesthetic concerns.


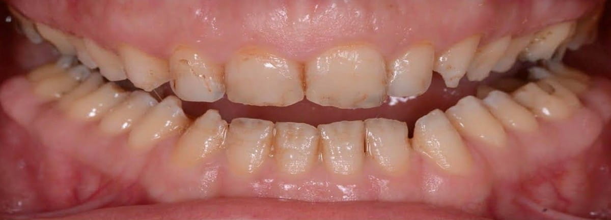
Cosmetic Veneers Application
Chipped, worn, and irregularly shaped teeth from grinding and aging, creating an uneven smile appearance.


Full Mouth Rehabilitation
Extensive tooth decay, missing teeth, and severe wear requiring comprehensive restoration.


Braces Treatment Success
Crooked and misaligned teeth with overbite causing functional and aesthetic concerns.


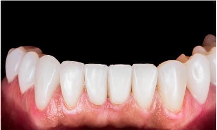
Professional Whitening Results
Yellow and stained teeth from aging and dietary habits, seeking brighter smile.


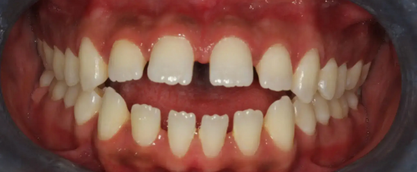
Veneer Smile Enhancement
Gaps between front teeth and minor chips affecting smile confidence.
Ready for Your Own Transformation?
Schedule a consultation today and let us help you achieve the smile of your dreams
Book Your Appointment